What 10 Common Mouth Issues Really Look Like (Part 1 of 3)
You know good dental habits can help prevent things like cavities and gingivitis, but you may not know what conditions like these really look like or how they can affect your mouth. Use this visual guide to learn more about some of the most common dental health issues, symptoms to watch for and the potential treatments that are available. Please note: This content is for informational purposes only. Only a dentist, physician or other qualified health care professional can make a diagnosis.

Cold Sores (Fever Blisters)
Cold sores are fluid-filled blisters that erupt on your lips, under your nose or around your chin caused by a virus known as herpes simplex virus type 1. Once you have them, you’re likely to get them again. Extremely contagious, they can be passed to others from the time you feel the first symptoms (like itching or tingling by your mouth) to the time they heal completely. Cold sores are often red, yellow or gray and usually heal within a week or two on their own. Your dentist can prescribe antiviral drugs within the first few days of an outbreak to help it heal more quickly. Over the counter drugs are available to help with pain, itching and burning they might cause.

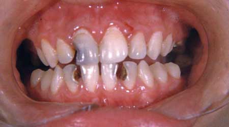
Cavities
One in four adults has an untreated cavity, and according to the CDC, nearly every adult will have tooth decay at some point. You might have a cavity if you experience pain, food gets caught in your tooth, your tooth feels rough to your tongue or it hurts to eat something cold or sweet. Depending on their severity, cavities can be treated with fillings, crowns or root canals. If the damage is too extensive or involves nerve damage, the tooth may need to be removed. To reduce your chance of developing cavities, brush twice a day, floss once a day, drink water with fluoride, use a fluoride toothpaste, stay away from sugary food and drinks and see your dentist regularly.

Chipped Tooth
If you regularly chomp on hard foods like nuts or ice cubes, grind your teeth or have a mouth piercing, you’re at a higher risk for a chipped tooth. You might feel pain, depending on how much tooth has been lost. You may also feel a rough edge when you run your tongue along it.
If this happens, see your dentist. A small chip might be able to be smoothed down. Your dentist can use a tooth-colored filling, a veneer or crown to shape up your smile after a larger chip.

Teeth Grinding
Grinding your teeth (bruxism) is most likely to happen when you’re sleeping, though it can occur anytime during the day if you’re stressed, have a new filling or crown that’s higher than the rest of your teeth or have an abnormal bite. Over a long period of time, the surface of your teeth will become worn. You could experience toothaches, dull headaches or earaches, and jaw pain (TMJ). Your teeth may also appear more yellow because the white outer covering is worn away.
A custom mouthguard from your dentist can protect your teeth during sleep and correct bite issues. If stress is the cause, find a way to relax. Meditation, counseling and exercise can help reduce stress and anxiety (and the likelihood that you will grind your teeth).
To read the entire article visit MouthHealthy.org.
Drs. Leaman, Setnicar & Piacsek, S.C.
James Leaman DDS, Joseph Setnicar DDS, Stacie Piacsek DDS
820 Summit Avenue
Oconomowoc, WI 53066
262-567-4466